티스토리 뷰
목차



폐암은 국내에서 암 사망률 1위를 차지하는 질환으로, 조기에 발견하고 적절한 치료를 받는 것이 생존율을 높이는 핵심입니다. 특히 초기에는 자각 증상이 거의 없어 발견이 늦어지기 쉬운 만큼, 폐암의 초기증상과 치료 방법을 정확히 아는 것이 중요합니다. 이번 글에서는 폐암의 대표 초기 징후부터, 단계별 치료법, 예후까지 자세히 안내드립니다.
1. 폐암이란? 기본 개념 및 유형
1-1. 폐암의 정의
폐암은 폐 조직에 악성 종양이 발생하는 질환으로, 크게 비소세포폐암(약 85%)과 소세포폐암(약 15%)으로 구분됩니다. 비소세포폐암은 비교적 천천히 자라고 조기 발견 시 치료 가능성이 높습니다.



1-2. 주요 원인과 위험요인
- 흡연 (가장 큰 위험요인, 전체 폐암의 80% 이상)
- 미세먼지, 석면, 라돈 등 환경적 요인
- 가족력 및 유전적 요인
- 만성 폐질환 (COPD, 폐섬유증 등)



2. 폐암 초기증상, 놓치기 쉬운 신호들
2-1. 지속되는 기침과 쉰 목소리
2주 이상 지속되는 마른기침, 목소리 변화는 흔한 초기 증상입니다. 특히 흡연자의 경우 일상적인 기침으로 착각해 진단이 늦어지기 쉽습니다.
2-2. 숨 가쁨, 호흡 곤란
조금만 움직여도 숨이 찬다면 폐 기능 저하를 의심해야 합니다. 종양이 기관지를 막거나 흉막에 영향을 줄 때 자주 나타납니다.



2-3. 객혈(피 섞인 가래)
기관지 주변 혈관이 손상될 경우 나타나는 증상으로, 소량의 피라도 지속된다면 즉시 병원 검사가 필요합니다.
2-4. 가슴 통증과 전신 피로감
폐 주변 신경을 자극하거나 흉막을 침범할 경우 가슴 통증이 나타나며, 암세포 확산으로 피로감이나 체중 감소도 발생할 수 있습니다.



3. 폐암 조기 진단 방법
3-1. 저선량 흉부 CT 검사 (LDCT)
가장 효과적인 조기 진단 방법으로, 1cm 이하의 작은 종양도 확인이 가능합니다. 고위험군(55~74세, 30갑년 이상 흡연자)은 1~2년 간격 검진이 권장됩니다.
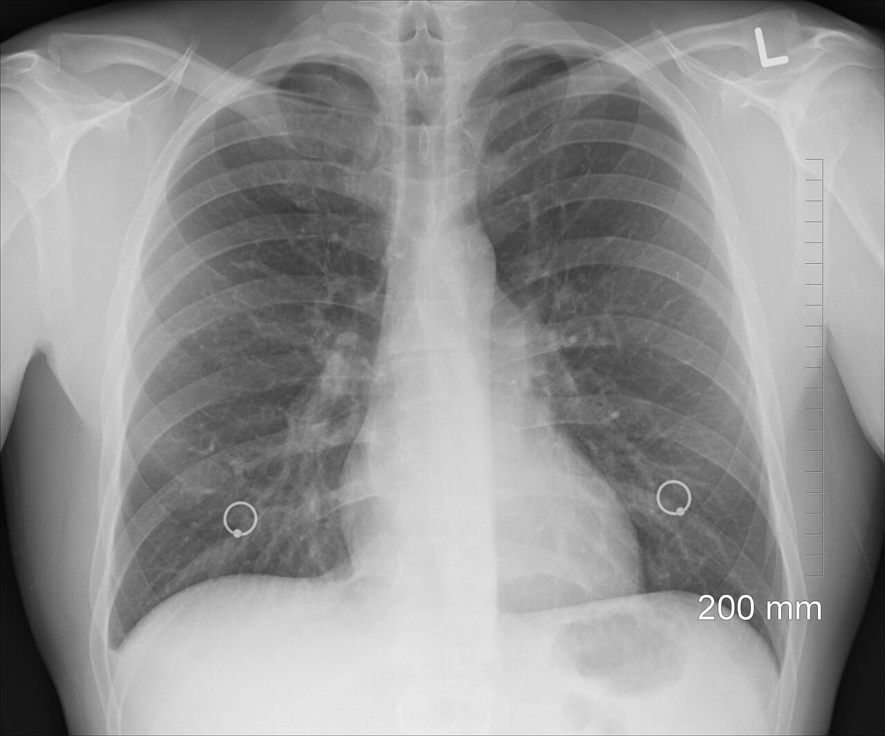
3-2. 흉부 X선
일반 건강검진에 포함되지만, 초기 폐암은 발견률이 낮기 때문에 CT와 병행해야 합니다.
3-3. 조직검사 및 기관지 내시경
의심 병변 발견 시 조직을 채취해 병리검사를 시행하며, 정확한 진단을 위한 필수 절차입니다.



4. 폐암 초기(1~2기)의 치료방법
4-1. 수술 치료
폐암 초기 단계에서는 암세포가 폐 국소 부위에만 존재하므로, 수술적 절제가 가장 효과적인 치료법입니다.
- 폐엽절제술: 가장 일반적인 방법으로, 종양이 있는 폐엽을 제거합니다.
- 부분절제술: 고령이거나 폐기능이 낮은 환자에게 적용됩니다.
- 림프절 절제 병행: 암의 전이 여부를 확인하기 위해 주변 림프절도 함께 제거합니다.



4-2. 방사선 치료
수술이 불가능한 경우 고정밀 방사선 치료(SBRT)를 시행하여 종양 부위만 집중적으로 제거할 수 있습니다. 특히 초기 비소세포폐암 환자에게 효과적입니다.
4-3. 항암 화학요법
암세포의 성장을 억제하고 재발을 방지하기 위해 수술 후 보조 치료로 사용되며, 종양 크기 감소를 위한 선행 항암치료로도 쓰입니다.
4-4. 표적 치료제
EGFR, ALK 등의 특정 유전자 돌연변이가 있는 경우, 이를 억제하는 표적치료제를 사용합니다. 부작용은 적고 효과는 높아 초기 폐암에서도 사용됩니다.



5. 치료 이후 관리 및 재발 방지
5-1. 정기 추적검사
치료 후 첫 해에는 3개월 간격으로 CT, 혈액검사 등을 통해 재발 여부를 확인합니다. 이후 점차 검사 주기를 늘려가며 장기 관리가 필요합니다.



5-2. 폐기능 회복과 운동
호흡재활 운동, 걷기 운동, 폐활량 향상을 위한 호흡법 등을 통해 폐 기능을 회복시키는 것이 중요합니다.
5-3. 금연 및 환경 관리
완치 후에도 흡연을 지속할 경우 재발 가능성이 높아지므로, 반드시 금연해야 하며 실내 공기 질 개선, 라돈 측정 등 환경 요인 관리도 함께 병행하세요.



6. 폐암 초기 생존율과 예후
6-1. 조기 치료 시 생존율
폐암 1기에서 수술 치료를 받은 환자의 5년 생존율은 70~80% 이상으로 보고됩니다. 반면, 말기(4기)로 진행되면 생존율은 10% 이하로 급감합니다.
6-2. 치료 예후를 높이는 요소
- 비소세포폐암 여부
- 유전자 돌연변이 유무 및 표적치료제 반응
- 수술 후 합병증 유무
- 적극적인 생활 습관 개선



맺음말: 폐암 초기일수록 완치 가능성 높습니다
폐암은 조기에는 거의 증상이 없어 놓치기 쉬운 암이지만, 초기 단계에서 발견해 치료한다면 충분히 완치도 가능한 병입니다. 특히 수술이나 표적치료는 1~2기에서 가장 효과를 발휘하며, 치료 후에도 금연과 생활관리로 재발을 예방할 수 있습니다. 지금 기침이나 호흡 변화가 신경 쓰인다면 미루지 말고 검사를 받아보세요. 생명을 지키는 가장 빠른 길은 조기 발견입니다.